Shopping cart

Subtotal CFA

View cartCheckout

Echosanté est un magazine de santé en ligne dédié à l’information fiable, à la prévention, au bien-être et aux innovations médicales, pour aider chacun à mieux vivre et décider.

TnewsTnews
  • Home
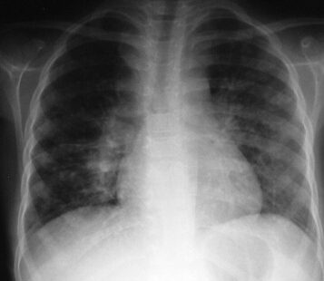
  • Sujets identifiés “PNLT (Programme National de Lutte contre la Tuberculose”

📰 Dernière parution : Echos santé n°1388 du vendredi 17 avril 2026

×